Signs You Might Need a Root Canal (And Why It Doesn’t Have to Hurt)
Introduction
For many, the words "root canal" trigger an immediate wave of dental anxiety. It’s a procedure often surrounded by outdated myths about pain. However, ignoring the warning signs of an infected tooth can lead to significant health risks and more discomfort down the road.
At #1 West Park Dental, we believe your experience should be defined by relief, not fear. We are honored to be recognized by our community as the 2025 Best Dentist in Silicon Valley by the Mercury News Readers' Poll and the 2025 Best Dental Practice by Metro News (an honor we also earned in 2022). These awards reflect our commitment to providing the most comfortable, patient-centered care in the region.
5 Key Signs You Might Need a Root Canal
If you are experiencing any of the following, your tooth may be trying to tell you that the inner pulp is infected:
1. Persistent Tooth Pain: Deep pain that won't go away, especially when chewing or applying pressure, often signals a nerve infection.
2. Lingering Sensitivity: If that sharp pain from hot coffee or cold water lasts for minutes after you've finished, it’s a classic symptom of nerve damage.
3. Swollen or Tender Gums: Look for swelling or a small, pimple-like bump (abscess) on the gums near the painful tooth.
4. Tooth Discoloration: A tooth that begins to look grayish or dark compared to those around it may indicate internal tissue damage.
5. A Chipped or Cracked Tooth: Even a small crack can allow bacteria to enter the pulp, silently leading to an infection.
Ending Dental Anxiety: Why Modern Treatment is Different
The biggest myth about root canals is that they are painful. The truth? A root canal is designed to stop pain, not cause it.
With modern anesthetics and the advanced technology we use at our award-winning practice, the procedure feels remarkably similar to getting a routine filling. Our team specializes in "anxiety-free" dentistry. Because we were voted the Best Dental Practice in 2025 and 2022, you can trust that our clinical expertise is matched by our gentle touch.
Why patients choose #1 West Park Dental for Root Canals:
Expert Anesthesia: We ensure the area is completely numb before we ever begin.
Calming Environment: From our front desk to the chair, we prioritize your peace of mind.
Award-Winning Standard: Our 2025 "Best Dentist" status means we use the latest techniques to ensure your procedure is fast and effective.
Don’t Wait—Save Your Natural Smile
Delaying treatment can allow the infection to spread, leading to tooth loss. Early intervention is the key to a stress-free recovery.
Whether you need a routine check-up or an emergency root canal in San Jose, visit the team the community trusts most.
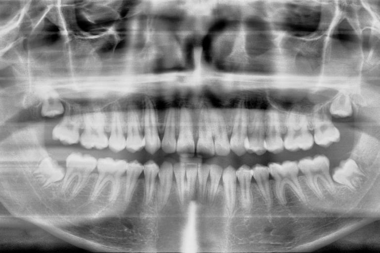
Before
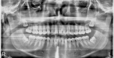
After
1315 S. Winchester Blvd
San Jose, CA 95128
Phone: 408-866-1819
Address:
Hours:
Sunday: Closed
Monday: 8:45am-6pm
Tuesday: 8:45am-6pm
Wednesday: 8:45am-6pm
Thursday: 8:45am-6pm
Friday: 8:45am-5pm
Saturday: 8:45am-5pm


